DENTAL NEWS AUS MINDELHEIM
Bei Dr. Baader & Kollegen halten wir unsere Patientinnen und Patienten gerne up-to-date. In unserem Newsbereich erfahren SieNeuigkeiten aus der Dentalwelt und unserer Mindelheimer Zahnarztpraxis. Bleiben Sie mit uns auf dem Laufenden!














































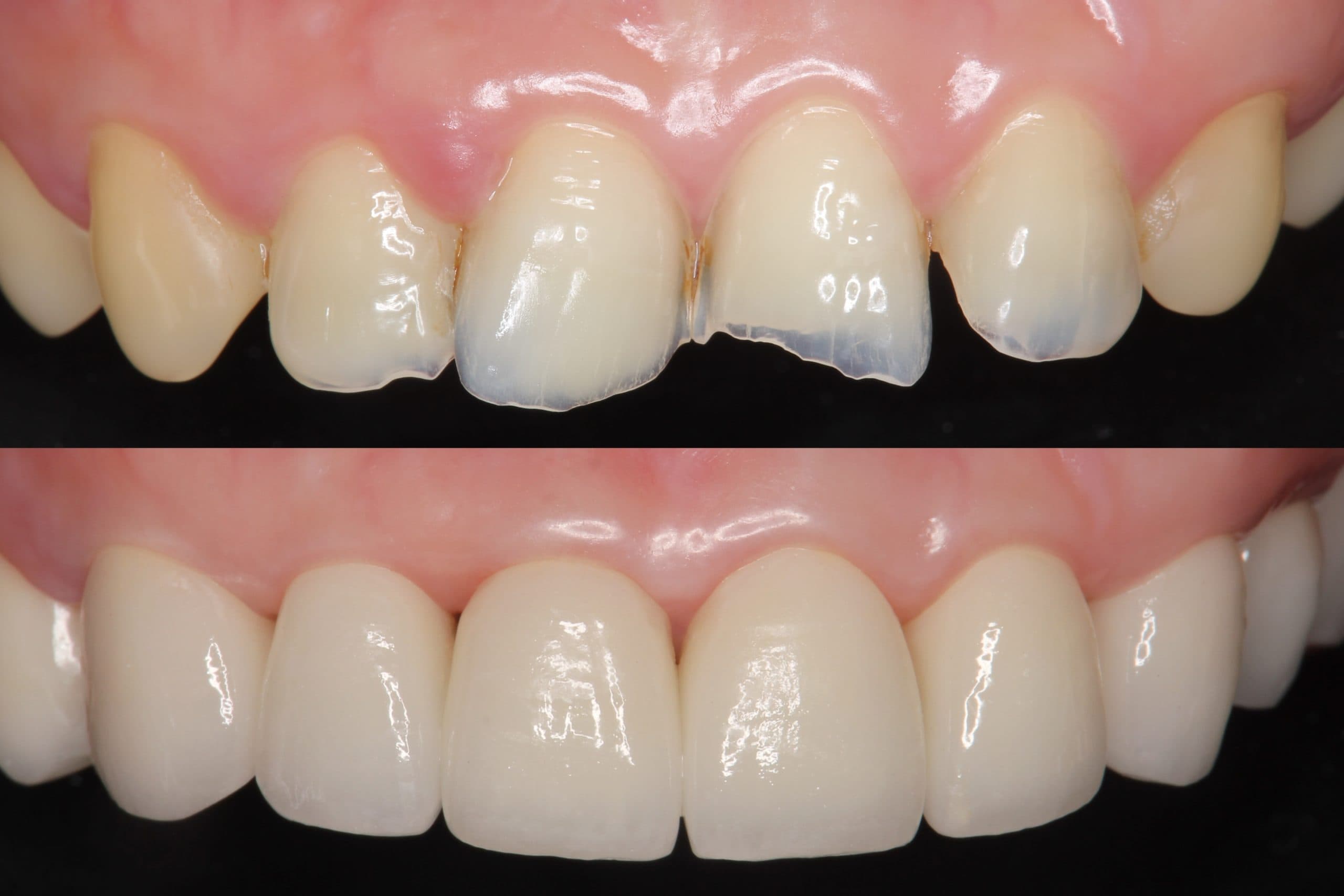
Wurzelkanalbehandlung – Endodontie / Kassen- und Privatleistungen (Teil III)
Dr. Baader Team

Wurzelkanalbehandlung – Endodontie / Kassen- und Privatleistungen (Teil II)
Dr. Baader Team

Wurzelkanalbehandlung – Endodontie / Kassen- und Privatleistungen (Teil I)
Dr. Baader Team






Premium-Auszeichnung „Excellence Center / All-on-4“ für das Implantatzentrum Mindelheim
Dr. Baader Team















Zahnmedizin Heute: Feste dritte Zähne an einem Tag (All-on-4™ Implantattechnik) Teil VI
Dr. Baader Team

Zahnmedizin Heute: Feste dritte Zähne an einem Tag (All-on-4™ Implantattechnik) Teil VII
Dr. Baader Team

Zahnmedizin Heute: Feste dritte Zähne an einem Tag (All-on-4™ Implantattechnik) Teil V
Dr. Baader Team

Zahnmedizin Heute: Feste dritte Zähne an einem Tag (All-on-4™ Implantattechnik) Teil II
Dr. Baader Team

Zahnmedizin Heute: Feste dritte Zähne an einem Tag (All-on-4™ Implantattechnik) Teil I
Dr. Baader Team

Zahnmedizin Heute: Feste dritte Zähne an einem Tag (All-on-4™ Implantattechnik) Teil III
Dr. Baader Team


Zahnmedizin Heute: Feste dritte Zähne an einem Tag (All-on-4™ Implantattechnik) Teil IV
Dr. Baader Team

Zahnmedizin Heute: Digitaler Abdruck – Zahnersatz ohne Würgereiz (Teil III)
Dr. Baader Team

Zahnmedizin Heute: Digitaler Abdruck – Zahnersatz ohne Würgereiz (Teil II)
Dr. Baader Team
















Zahnmedizin Heute: Schwere Zahnprobleme – Wenn bald die Vollprothese droht
Dr. Baader Team

Zahnmedizin Heute: Aufhellung für strahlende Zähne (Zahn-Bleaching – Teil III)
Dr. Baader Team

Zahnmedizin Heute: Aufhellung für strahlende Zähne (Zahn-Bleaching – Teil II)
Dr. Baader Team

Zahnmedizin Heute: Aufhellung für strahlende Zähne (Zahn-Bleaching – Teil I)
Dr. Baader Team















