
Ein schönes Lächeln durch Keramikschalen / Veneers (Teil II)
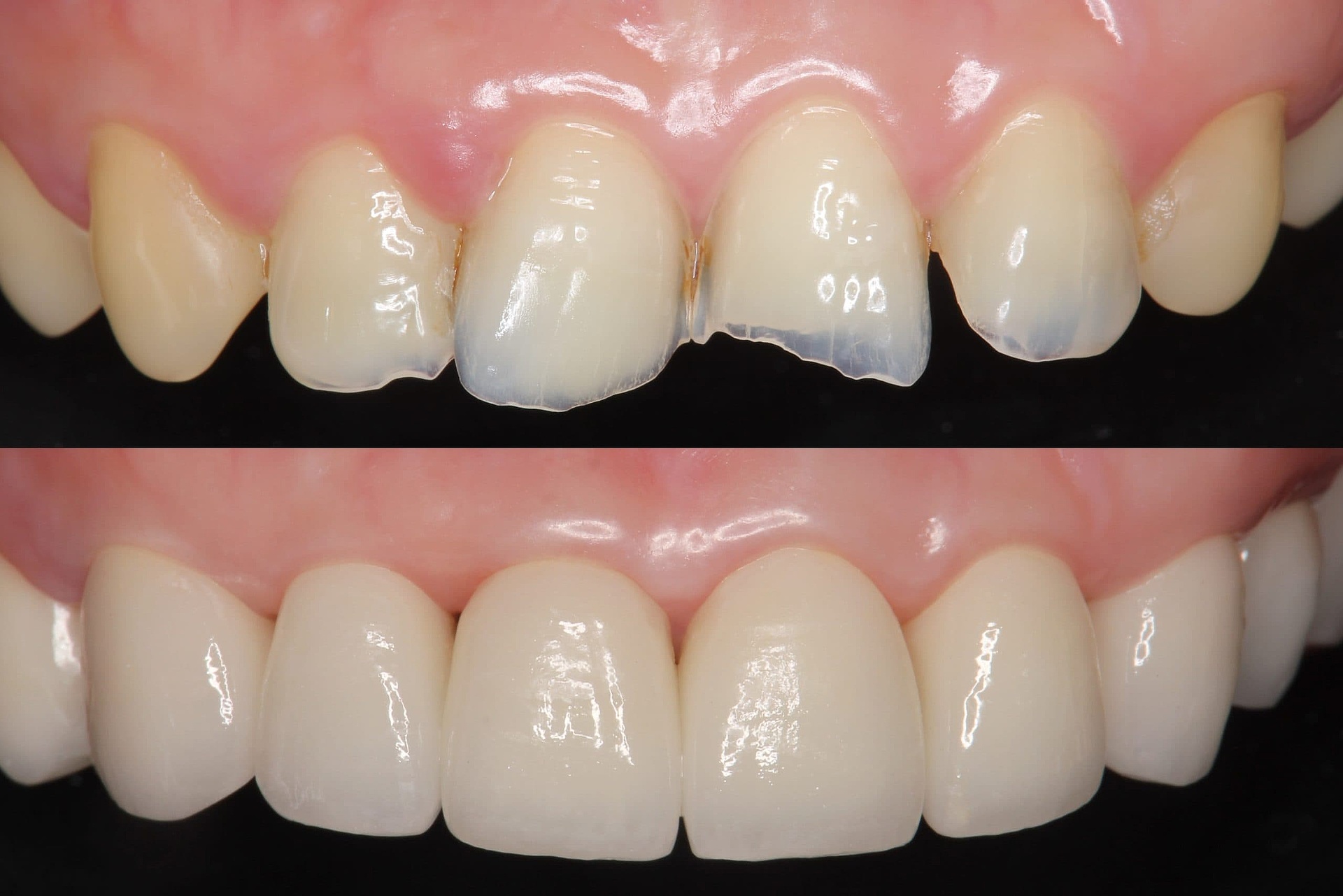
Wie bereits in Teil 1 erläutert, bieten Veneers eine überzeugende Zahnästhetik, weshalb sich mittlerweile immer mehr Menschen für Schönheitskorrekturen an ihrem Gebiss entscheiden. Durch diese schonende Keramikschalen- Technik können unschöne Zahnverfärbungen, kleine Lücken, abgebrochene Schneidekanten, leichte Zahnfehlstellungen usw. äußerst minimalinvasiv korrigiert werden.
Schonende Vorgehensweise
Die Behandlung ist äußerst schonend: Zunächst schleift der Zahnarzt den Zahn im sichtbaren Bereich leicht an. Mit großer Präzision wird das Veneer aus Keramik dann im zahntechnischen Labor gefertigt und farblich individualisiert.
In der Zahnarztpraxis wird die nahezu transparente Verblendschale durch eine besondere Klebetechnik fest mit der Zahnfront verbunden. Dieser Prozess ist zahnärztlich äußerst anspruchsvoll, aber überwiegend schmerzfrei.
Im Vergleich zur Versorgung mit einer Krone, bei welcher der Zahnarzt durchschnittlich etwa 2 Millimeter und mehr Zahnsubstanz abschleifen muss, fällt die bei der Verblendmethode abzutragende Zahnsubstanz deutlich geringer aus.
Haltbarkeit der Keramik-Veneers
Veneers sehen nicht nur aus wie echte Zähne, sie haben auch eine hohe Lebenserwartung. Dies ist wiederum den positiven Eigenschaften der modernen Keramiken zu verdanken. Ihre Härte kommt der des natürlichen Zahnes sehr nahe.
Zusätzlich besticht die Keramik durch eine hohe Farb- und Abriebbeständigkeit. Die Oberfläche von Veneers ist hochglasiert und dadurch so glatt, dass sich nur wenig Beläge und Zahnstein anlagern können. Somit wird gleichzeitig einer Entzündung des Zahnfleisches vorgebeugt.












