
Keramikimplantate (Teil II)
In seltenen Fällen einer Titanunverträglichkeit, bei Missempfindungen oder bei allergischen Reaktionen, können Zahnimplantate aus speziellen Hochleistungskeramiken zur Herstellung einer metallfreien implantologischen und prothetischen Versorgung indiziert sein.
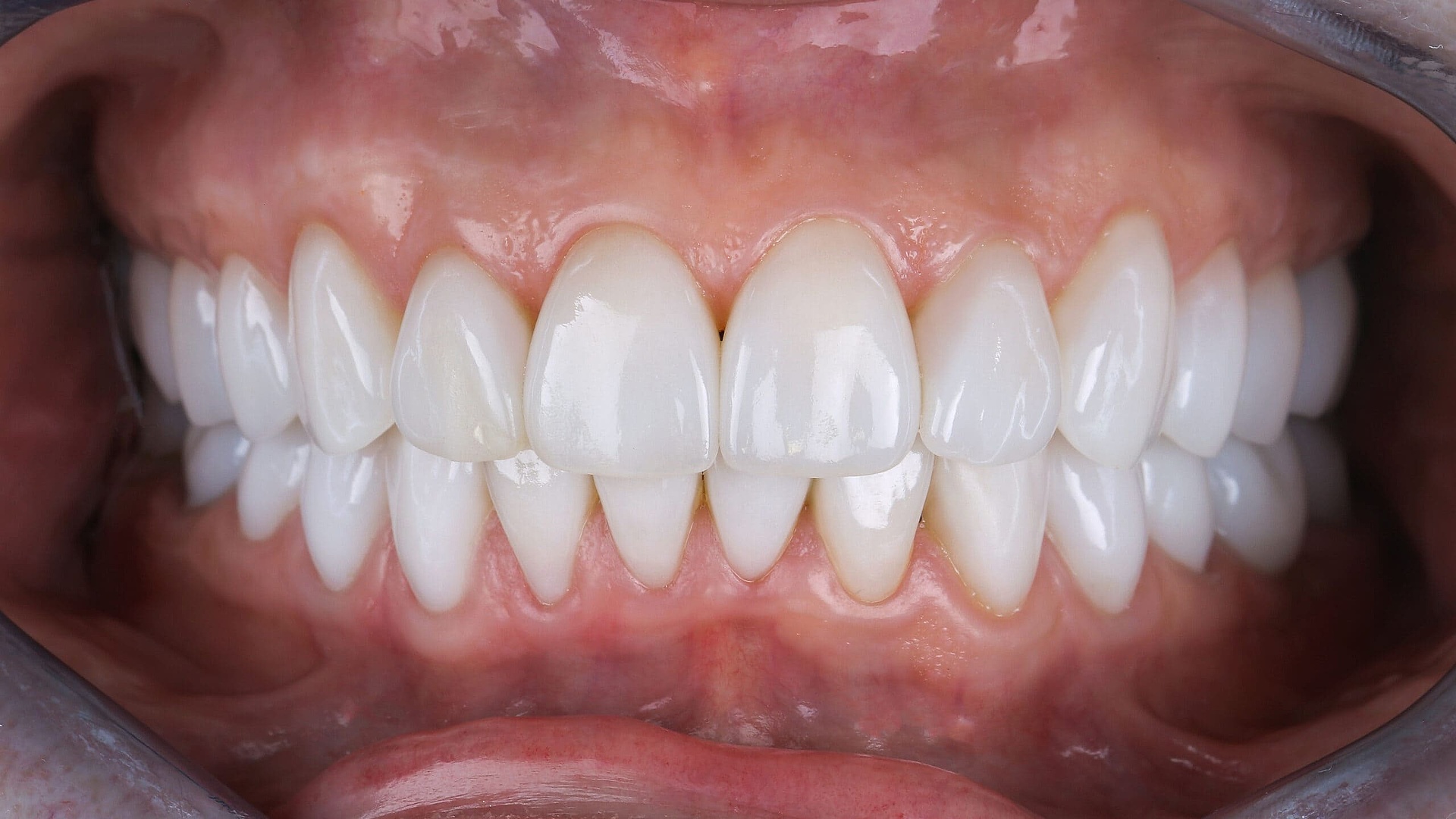
Keramik-Implantate für höchste Ansprüche
Mit den modernen Keramik Implantaten können heutzutage nahezu alle gängigen und bekannten Zahnersatz Versorgungsvarianten realisiert werden. Sowohl die Einzelzahnversorgung, als auch mehrgliedrige Brückenversorgungen sind auf Keramikimplantaten möglich.
In manchen Fällen kann auch eine so genannte Sofort Implantation durchgeführt werden. Hier wird das Implantat nach der Zahnentfernung und der Säuberung des Wurzelfaches direkt in diese entstandene Alveole eingesetzt.
Außerdem ist es bei umfangreichen kompletten Kiefersanierungen möglich, „feste Zähne an einem Tag“ auf Keramikimplantaten zu realisieren („All-in-one“ Konzept). Hierbei werden in einer „Schlafnarkose Behandlung“ die nicht erhaltungswürdigen Restzähne entfernt und direkt nach dem Einsetzen von mehreren Keramikimplantaten die festen provisorischen Zahnkronen und Brücken am gleichen Tag darauf befestigt.
Der entscheidende Unterschied zu Kiefer Komplettversorgungen mit Zahnimplantaten aus Titan besteht darin, dass bei einer auf Keramikimplantaten abgestützten Zahnbrücke nicht nur vier Implantate pro Kiefer (wie z. B. bei der All-on-4 Technik) genügen, sondern in diesem Fall mit mindestens acht Keramik-Implantaten geplant werden muss. Dies erhöht bei dieser Vorgehensweise folglich auch die Gesamtkosten der Zahnsanierung erheblich.












